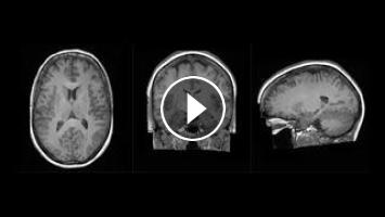
King’s College London, along with partner hospitals and university collaborators, have been developing and deploying AI algorithms to benefit healthcare for decades. The Synthetic Brain Project is focused on building deep learning models that can synthesize artificial 3D MRI images of the human brain. This AI model can help scientists understand what an image of a human brain looks like across a variety of ages, genders, and diseases. Synthetic brain images can help clinical teams understand brain diseases, and the spectrum of healthy brains.
The Synthetic Brain Project runs on Cambridge-1, the UK’s most powerful supercomputer, and enables King’s College London to conduct ground-breaking research and innovation that they previously could have only dreamed of.
Visit our Cambridge-1 page to discover more: https://www.nvidia.com/cambridge-1/
#AI #medicalimaging #Cambridge1
The Synthetic Brain Project runs on Cambridge-1, the UK’s most powerful supercomputer, and enables King’s College London to conduct ground-breaking research and innovation that they previously could have only dreamed of.
Visit our Cambridge-1 page to discover more: https://www.nvidia.com/cambridge-1/
#AI #medicalimaging #Cambridge1
Be the first to comment
